#整容#
883人参与 329073浏览
-
来晒晒你差别最大的2张照片,有机会赢取价值520元的套餐哦!
每个人都有普通和漂亮的时候来晒晒你觉得自己差别最大的照片吧不管是化妆后、整容前后、变装后都可以只要你觉得是差别很大的 【活动时间】:2021.7.16-7.26【参与方式】:直接在本帖下方留言回复即可【活动奖品】:华圆国际酒店提供的520元情侣双人餐*3 【获奖原则】:点赞数+对比效果强烈+人气高,综合判定
50755575 2021-07-16 16:3843500 195
-
谈谈混医美圈10多年的经验,让大家也避避坑
已经拉了好几个朋友下医美的水,现在一个二个都比我医美项目升级的快。马上奔40的阿姨了,才工作二十几岁的时候流行整容,我胆小怕死怕痛没敢大整,一直在微调的道路上前进着。 先谈谈微调高中毕业我单眼皮眼睛小那年高考完被我妈拉去xnyy直接做了个双眼皮,人家做前问我做韩式还是欧式,我说怎么做眼睛大就怎么做,以前做双眼皮才爽整个眼睛算一个部位,上眼睑直接给我剪脂肪凹进去,反正才1000全包,现
鑫垚_5927 2022-07-21 16:2825430 190
-
整理内切眼袋的注意事项,希望每个人都恢复的漂漂亮亮
-术后前3天:术后于手术医院冰敷半小时后离院,24小时间断冰敷,纱布第二天拆除。刀口可能会有少量渗血,可以垫纱布或手绢压迫直至出血停止,之后局部进行冰袋冷敷; 眼角有分泌物可以用无菌棉棒清理; 不可蒸桑拿或做饭时被蒸汽围绕; 不可突然或者长时间低头导致面部涨红; 尽量避免剧烈咳嗽; 不要吃辛辣刺激食品。 洗脸时注意不要打湿伤口,不要揉搓下脸。 有过麦粒肿的话术后口服用抗生素,外用抗生素眼药水,左氧
平安京外星人 2021-09-13 13:37838 3
-
第一次玻尿酸丰唇 真的太香啦姐妹们
丰完唇之后纯欲感十足 爱了爱了
47757329 2022-06-13 16:03824 5
-
第一整形模板也翻车?扒一扒那些脸已经垮掉的女明星们!
上次说了娱乐圈那些整形比较自然的明星今天来说那些脸已经垮掉的女明星们快要垮掉的也算大家都来提名818呀
48295349 2021-04-15 14:14110666 189
-
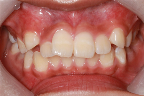
娃儿牙齿不齐,现在看虎牙也没有那么可爱了,2年矫正路
摆哈牙齿矫正,我娃儿12岁的时候下定决心带他去做了牙齿矫正,那个时候本来还想拖,但是实在看不下去他那一口颠倒西歪的牙齿了,开始还觉得小虎牙很可爱,但是越长越乱七八糟,所以决定要控制一下
街边的早餐 2025-10-13 11:186792 96
-
简单点,切开双眼皮经历分享
双眼皮普通全切+开眼角已经有大半年了,本来是懒得写下来的,但是最近刚好朋友问起来,我就按时间轴整理了一下恢复的照片,当时网上也了解到了很多信息,我的分享应该对很多想要做双眼皮的姐妹有所帮助。当时重庆的各大医院基本跑遍了,都去对比了解了一番,最后选择了朋友推荐的一家医院,其实我对做全切双眼皮还是有点抵触的,害怕恢复不好留下难看的疤痕,但是看到朋友都是在这里做的,效果也比较好,就选了这里。
51481326 2022-08-03 11:1449221 184
-
欢迎理性讨论!在经济条件允许的情况下,你会选择整容吗?
最近很火的金晨,真的是一个非常成功的整容案例她的蜕变简直太完美了!以前我真的不觉得她有多乖,现在觉得她简直就是绝了!!!!!!!网上找到一张她整容前后的对比照,大家先看看 好奇,现在整容这么流行,成功的案例也这么多了论坛里面的妹纸都是怎么想的? 如果经济条件允许的话,你会选择整容吗? 现在这个看脸的社会,大家都会想要变得更美吗?欢迎大家进来理性讨论!!!
闹不闹得住菇很傻 2020-11-16 13:5645587 183
-
这双眼皮是不是就得割了?
想要割双眼皮这一比划,还是要好看的多啊
50974559 2021-08-05 18:45864 4
-
【变美直播室】第1期 改变眼睛,整个人就大变样!有人说像郭碧婷
每个人都有追求美的权利,先天不足只有靠后天来补今天为你们带来一场【变美直播】,让你看看仅仅只是一双眼睛的改变,就能有多大的变化!! 单眼皮、内双、内眦赘皮的妹纸们,可以关注起来哟!也许你会发现让你变美的途径 变双眼皮前后10个月的变化:悄悄话:有人说改变之后有点像大眼美女郭碧婷本次直播室案例由曹阳丽格技术支持---------------------------------------------
小管家_桃子 2020-09-08 14:0672707 174
-
追光吧哥哥们不止油腻又胖,他们集体换头史一点不输大宝贝
一直以来,女性都在被过多关注,从五官到身材,太胖、太瘦、整了,都被置于放大镜下。 而今天,我们就来凝视一下追光吧哥哥们,他们的集体换头史可一点不输女明星。 预告一下,有位甚至超过了大宝贝。先猜猜左边是谁? 来源:所长
48365232 2020-12-22 14:4650930 172
-
暴瘦50斤,全脸整形后泡到宋慧乔最帅前任,如今也嫁豪门了
买热搜的明星有,但人糊还敢买热一的,并不多见。 来看看#姜素拉怀孕#这个话题,不点开大图,姐妹们能想起她长啥样吗? 来源:所长
47802702 2020-11-24 14:3163987 171
-
【2020年终变美总结】成功逆袭!这里有30双漂亮的双眼皮大眼睛
2020年即将过去...今年有多少购物狂的会员,成功让自己在颜值上逆袭?看看这个“改变眼睛”的变美总结大帖也许会给正好想要变美的你,一点正能量分享哟! 这个帖子里,桃子会把2020年在购物狂分享过[双眼皮手术]的成功案例,全部给大家整理出来话不多说,让我们一起来回顾她们是如何变美的吧!!
小管家_桃子 2020-12-07 09:3556087 168
-
小时候和现在的颜值差距有多大,美女从小就漂亮
翻翻小时候照片,看看你现在和小时候还像吗?是越长越漂亮,还是没有小时候好看了呢?原来帅哥、美女们真的是从小就好看快来晒晒你们小时候和现在的对比照片吧@w1xxx:童年这算啥颜值 真心感觉没有小时候好看了
50806325 2022-04-12 13:3546650 166
-
中国第一真人芭比迪丽拉,曾说自己没整容,结果吃饭都不敢张嘴?
在这个遍地都是整容脸的时代,越来越多的人,为了追求所谓的“美”,跑去整容。有的选择微调,有的整的幅度和力度过大,连爹妈都认不出来,更有甚者,为了出名,把自己整得人不像人鬼不像鬼,“面目全非”。比如之前在网络上大火的“蛇精男”刘梓晨,那个长相,不是P出来的,而是完全按照葫芦娃里的蛇精整的,下巴尖得可以戳死人。 转自北极熊大大
穿警服的少女 2022-01-21 11:3833769 165
-
瘦脸针yyds!!身边姐妹们都说我脸小了一圈~
我从小到大脸都是圆圆的,小时候还显得可爱,但是长大后就尴尬了我是天生咬肌就特别发达的那种,在读书的时候几乎没有把头发全部露出来过,都是中分发型,这是打针前拍的照片 侧面看更明显,这嘟嘟脸
51532959 2022-09-08 14:5743837 164
-
3个月时间我从120斤瘦到了92斤,分享我的真实经验
分享的都是我从开始减肥,到现在的历程经验。日常记录,都是苹果原相机拍摄,也为了以后自己看出变化。先来看看120斤的时候
47583480 2021-09-23 10:2261833 163
-
知名wanghong整容失败消失2年,哭诉做脂肪填充老了20岁变成丑八怪
大家还记得那个“蛇精男”网红刘梓晨吗?堪称整容翻车第一男网红吧。 过分夸张地追求大眼睛和高鼻梁,显得整个面部五官都不协调,甚至看着有些吓人。来源:自由吃瓜
47702440 2021-03-08 11:4556162 162
-
都来说说为了变漂亮,你坚持了哪些好习惯呢
人在外貌上变美并不难,现在多元化审美,但凡有一点时尚嗅觉和美感,加上对自己狠得下心来,都可以变美。变美的习惯多得很,最关键就是要坚持去做按照我自己的情况我一直坚持的事情就是,祛痘和美白。祛痘:我大学的时候开始烂脸,其实一直到现在都会长痘痘只是没得以前恼火了。如果很严重的话一定要去三甲医院看痘痘,一个不行,多看2个,烂脸也受情绪影响,不要操之过急。我认识的油皮基本都有烂脸的经历。记住少油少糖,护肤品
抹茶味道冰淇淋 2021-05-10 14:4048531 161
-
她才是颜值逆袭最强者吧!曾经20像40,如今35岁变女高中生...
这几天追《浪姐2》的时候,日常怀疑自己看的是《欢乐喜剧人》+《宫心计》。 姐姐们几乎是全员敢说的耿直人设 来源:氧叔
47637450 2021-02-03 22:2045717 161
标签简介
大家都在讨论"整容"赶紧来看看吧~

