#重庆生活#
37202人参与 782563浏览
-
60岁男子与女友同房后突然死亡,女友一行为遭诟病
汉语里有个成语叫乐极生悲,它原指快乐到极点,就会转化为悲哀,也指正当快乐的时候,发生了令人悲哀的事情。1月20日,媒体曝光了一起令人瞠目结舌的奇葩事件,一位60岁丧偶男子在跟女友同房时突发身体不适,四天后一命呜呼。而在整个过程中,女友的行为备受争议,死者家属事后将女方及其他5人告上法庭,并提出赔偿。事情曝光后,舆论一片哗然,而随着媒体的关注和家属的发声,关于这起事件背后的诸多细节和隐情曝光。
如冰@|chongqing 2026-01-21 22:083940 18
-
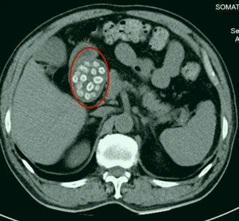
玩耍被撞后10岁男孩多器官切除,当地卫健局:医院存在问题已立案
玩耍被撞后10岁男孩被诊断有肿瘤,多器官切除 当地卫健局:医院存在问题,已立案 2023年10月26日,来自山东菏泽市成武县的小烨和他家人的命运被彻底改变了。这个原本阳光、可爱的小男孩在一次意外被撞击后,在医院检查出了腹腔内存在肿瘤,并在手术中被切除了包括十二指肠、胰腺、大部分胃和小肠等多个器官。此后便无法再像正常人一样吃饭、喝水,活着要靠长期静脉注射营养液。 一份2024年12月由第三方机构出具
无敌冰冰冰冰冰冰 2025-11-01 14:415459 25
-
奇葩租客退房要带走我家灶
我在重庆区县镇上有套三室的房子,征地给赔的,似乎是镇上当时第一个有电梯的小区楼房。房子简单装修了一下,带家具家电,桌椅板凳是新买的,燃气灶、油烟机也是新买的。区县镇上房租便宜,三室的房子一年才3000左右,具体金额记不住了,我爸在管。这个租客房租一年一交,是一对五六十的老人带着孙子一起,住了也有三四年了吧。今年爸妈都到领退休工资年龄了,就想从重庆回老家住,国庆节回去就通知了租客年底(12月)到期后
快乐的汤师傅 2023-10-15 09:575846 33
-
小学生的午休神器冲上热搜!网友:打工人也想要
你有睡午觉的习惯吗? 一个高质量的午休可以让整个下午精力充沛尤其对于正在长身体的少年们 不过在学校午睡很多时候只能选择趴在桌子上睡眠体验感并不好 但最近网上一段学生在教室午休的视频走红引来众多网友的羡慕和点赞
51210901 2022-09-23 16:065023 26
-
央视公布最新视频!春晚重庆分会场舞台长这样
1月19日 中央广播电视总台 《2025年春节联欢晚会》 举行新闻发布会 介绍节目和技术创新亮点 官宣主持人阵容和舞美设计 其中 重庆分会场惊艳亮相 春晚中重庆分会场舞台长啥样 大家是不是很期待 一起来看看
sandy朵朵@|chongqing 2025-01-21 15:115981 13
-
@重庆人,春节不打烊,您的包裹不耽误!
重庆之声1月4日讯 2023年春节临近,这是中国人一年中的大日子,年货消费与出行需求将在这时同步释放,物流行业迎来年货寄递高峰。重庆之声记者今天(4)采访了解到,我市多家快递企业加大人员、运力、场地等资源储备,“春节不打烊”,力保收派。 作为业内首家开展“春节也送货”的物流企业,京东物流宣布,2023年“春节继续送货”。同时,他们加强了对米面粮油、酒水、防疫物资等重点品类商品的保供,保障年货激增需
50760855 2023-01-05 07:503597 21
-
洁柔纸巾这么厉害?洗衣机滚了一圈出来都没变渣渣
如图洗完衣服以后发现好多这种一条一条的结果是纸巾找了半天是放在裤子口袋的纸巾忘记拿出来了之前随手拿了一张放口袋里擦汗
疯子一轻 2025-04-20 20:263850 27
-
女孩医院被六旬患癌老头猥亵亲妈却和解,背后原因和补偿金气炸我
梅姐多年前与丈夫分居后对方便失联,她一人拉扯三个女儿。
如冰@|chongqing 2025-10-19 16:105182 37
-
河北“一日新娘”事件引巨大争议:荒诞背后,真相令人窒息...
新婚、二婚、金婚都没啥新奇的,但你听说过“一日婚”吗?就是那种不领证、不共同生活,只走个婚礼过程就各奔东西的“夫妻”。一条来自河北廊坊的婚礼视频,引起了很多人的关注。
如冰@|chongqing 2024-07-17 14:069263 39
-
突发!核酸检测取消?融创文旅城管家通知业主取消今日核酸检测
突发!核酸检测取消?重庆融创文旅城管家通知业主取消今日核酸检测,相关通知内容为:接社区最新紧急通知,取消8月26日(今晚)下午18:00—22:00全员核酸检测,请各位业主知晓,不要过来做了,免得跑空路[笑哭]虽然此消息并没说明今日取消核酸检测原因以及明天是否继续核酸检测,不过依然让人难免对解封产生期待,难道好事真的将临的吗?
48993126 2022-08-26 16:56105350 5
-
广东男子建新房被“埋骨”事件:评论区让我瑟瑟发抖
俗话说:远亲不如近邻。但在广东一网友最近的经历面前,这句老话却变得格外讽刺连不少网友看完后,都觉得毛骨悚然。网友是潮汕人,这几天正在老家宅基地上盖新房。盖房乔迁,本是人生一大喜事。可网友一家,却觉得无比晦气。为啥呢?原来,潮汕这边的自建房大部分都有电梯井,又深又危险。
如冰@|chongqing 2025-12-18 14:073895 27
-
电话手表成家长“情报中心”,看行动轨迹才晓得他们是真“野”
暑期过半了带娃的家长,你们还好吗GO妹最近就发现世界上最能帮爸妈带好娃的帮手就是电话手表
微信小管家 2025-08-06 16:1320883 53
-
男子徒手接住雨棚坠落女童,当事人:本能反应,事后感到后怕
4月13日,云南曲靖某菜市场。 一五六岁左右的女童先是从三楼坠落到一楼商铺的雨棚上,之后从雨棚掉下来的瞬间被店主唐先生徒手接住。据唐先生介绍,当时他在店里忙活,听到砰的一声巨响,观察后发现一个孩子正在自家门店的雨棚上大哭。 “小孩是我们店铺三楼的,自己翻窗户掉下来了,正好掉在我们店铺的挡雨棚上面,距离地面大概四五米。”唐先生回忆,孩子从雨棚坠落瞬间,他出于本能反应,徒手接住了孩子。 事后提及此事,
51210901 2023-04-14 12:103008 10
-
五一竟然只放两天!!!
吐槽一下,不敢发朋友圈吐槽,都是同事领导的,啊,今天才出了五一放假通知,竟然就放1,2号。说的好听按照国家规定放,但是放假时间真的让人无语,怎么还能在有生之年出去看看,连回个老家都是紧赶慢敢的。 社会人的悲哀,打工人的可悲,无力吐槽了,心好累[ej=1F62D]
笑魇如花27 2021-04-16 11:152730 12
-
天津男子晒家中囤货堪比超市货架:都是媳妇养成的好习惯
天津,刘先生家的龙凤胎出生于2020年1月份,恰好赶上疫情,从那时起,刘先生的妻子开始给家里囤各种物资,后来疫情不断反复,各种物资越囤越多,摆满了好几个货架。
如冰@|chongqing 2022-01-14 07:472715 3
-
2022年最尴尬的跳河,重庆男子去跳河,结果水太浅了
七月二十四日重庆一名男子站在桥头上准备跳河,消防员,派出所的人都来到了,怎么劝男子也不下来,最后男子还是一下子跳了下去,结果由于水太浅,落水还把脚趾头都弄伤了,网友:你这跳河跳的也太敷衍了吧,还把自己弄骨折了,这是给医院骨科又增加了一单生意呀。 本来是一个很悲情的故事,结果硬生生的给你整成了搞笑故事。
乐鱼px 2022-07-26 16:413655 4
-
开了快递驿站,我被逼成了一个私家侦探!
为了“引流”,我的便利店开设了快递暂存业务,就是所谓的“驿站”。由于各种各样的原因,总会出现一些少件,丢件的问题,为了追查这些快递的下落,我不得不像侦探一样查监控,找线索,寻轨迹,最终将丢失的快递追回来。这项工作既费精力,又耗时间。起初,我对此烦不胜烦,一度想关掉这个快递业务。时间长了,随着我的侦破能力的不断提高,我竟然从中发现了乐趣,每侦破一个案子,我心里都会有一种莫名的成就感和自豪感。现在,我
江子鸭 2025-07-08 14:4379152 189
-
明日起,轨道交通谢家湾站可站内换乘环线、2号线
6月16日,重庆市住房城乡建委发布消息称,重庆轨道交通谢家湾站换乘通道明(17)日正式投用,今后市民在谢家湾站换乘环线或者2号线不用再出站。
布小妹妹 2023-06-16 16:212661 16
-
雷雨!冰雹!重庆强对流天气来了
据重庆市气象局4月8日9时发布的信息8日白天到10日白天大部地区多云到晴[太阳]10日夜间各地有阵雨或雷雨[下雨]最高温直冲33℃强对流天气将上线详情↓↓↓ 微博截图
sd2206406 2025-04-08 14:404190 6
标签简介
大家都在讨论"重庆生活"赶紧来看看吧~

