#女性健康#
2009人参与 167149浏览
-
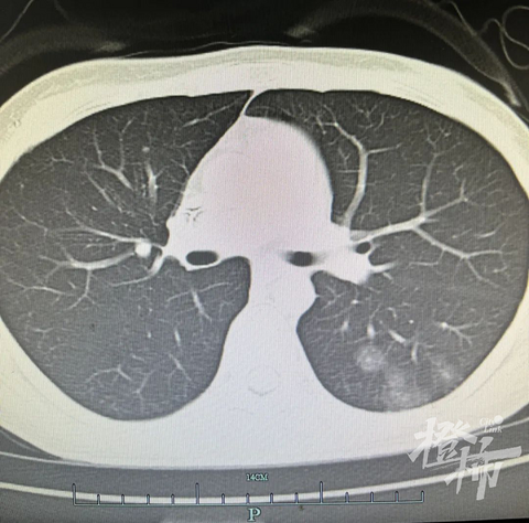
10年5次患癌,这个24岁的姑娘已数不清是第几次住进病房
北青网 原标题:10年5次患癌,这个24岁单腿姑娘瘦弱的身影令人心疼!体重66斤的她,已数不清是第几次住进病房…… 在许许多多的癌症患者中,有一类患者似乎特别不幸,不久前才接受过治疗的癌症,又在身体里“卷土重来”。多数市民也许都会觉得是第一次所患的癌症复发或者转移了。但对于这一类患者,他们终其一生都要时刻警惕癌症侵袭。 体检发现两肺多发小结节可能“癌”又来了! “王主任,体检报告说我肺里有多发性结
43017721 2022-09-30 09:30455 9
-
干货分享!坐标:重庆我终于打到HPV疫苗了~
说起来搞笑,以前没打,因为不懂~不重视后来才发现这个的重要性,女孩子一定要保护好自己呀~年纪过了,我打的4价
45154637 2021-12-03 15:5724123 109
-
闺蜜表姐43岁,查出宫颈癌晚期,手术机会都没有,只能等死
不是黑大家,曾经我也以为宫颈癌很遥远,直到发生在身边,才觉得好恐惧。闺蜜的表姐,43岁,因为大姨妈最近一直不断才去医院检查,结果查出来就说是宫颈癌晚期。有条件就尽快把宫颈癌疫苗打了吧,别纠结二价四价九价了,防癌二价都可以了。还有妇科体检宫颈癌筛查一定要做!她要是早点发现也不是这个结果,哎。
50183451 2022-09-07 11:3728529 105
-
中医分享两味药,既能补钙,又能缓解腿脚抽筋
人上了岁数之后,因为精血不足,不能充盈,所以养不了腿上的肌肉,它就容易抽筋,挛急痛,在舌头上就体现为口干;人就会瘦,也会皮肤看上去很干燥。中医认为这类病人的病根儿,气血虚是本质,是根儿,像腿抽筋,脚抽筋,小腿痛,大便干,身上受他,皮肤弹性差,舌头变小,这些都是一个一个症状。 可以用芍药和炙甘草这两味药进行治疗,这两味药合一起就是芍药苷草汤,出自张仲景编著的《伤寒论》。芍药酸苦微寒,可益阴养血,能滋
47887636 2022-08-26 11:371010 2
-
HPV只能通过性感染?发现HPV阳性,老公各种关怀被嘲是心虚
网友记录自己发现HPV阳性,自己打了四价还是被病毒入侵,很崩溃。但是她老公一直在安慰,鼓励她,让她有了勇气。
U42425382 2023-04-05 23:0414320 79
-
囊肿离生活越来越近
今天突发奇想,去医院做个常规体检。嘣~医生说需要做手术,说不做手术的话会破。是非常严重了,再问需要多少钱啊?住院一周,花费在一两万,。牙刷哦,没买农村医疗保险,社保妈的也给我停了,全程自费不晓得要遭好多钱,工资又3个月没有发了。真是一分钱难倒英雄汉 有懂看报告的朋友没,帮着看看,提提意见
余生怎么过 2024-09-05 13:3519252 105
-
你对避孕套根本一无所知,平时可能都用错了自己还不知道
转自好奇博士的实验室,不正经的科普。 相信许多点进来的老爷第一反应都是 科科你们平时可能都用错了自己还不知道!
45484302 2021-05-07 11:2058989 105
-
请问有没有好的中医推荐可以治疗子宫憩室?
月经一直拖尾好多年,从最开始8天到现在10多天,以前一直查不出原因,最近一年觉得月经中后期下腹痛才查出来是子宫憩室。去附二院医生建议这么多年了还是做个宫腔镜看下里面内膜有没有病变,昨天做了检查,今天出院的时候医生说看起暂时是没有什么要紧的,说如果病理没有什么的话,子宫憩室可不管它,反正我已经40岁了。可是问题就是我这几次来月经中后期左下腹都像针扎一样的疼。晚上还影响睡眠,医生说那只有下次特别痛的时
Rachel96436 2023-07-06 10:5916174 104
-
令人难过的感触,一点点呼吁
今天工作不太忙,可能是因为新的疫情,多少人因为工作或是因为其他原因,忍着病痛不能到医院就医。今天原本应该是比较轻松的一天,但是今天接诊了一个老朋友似的患者后,心情特别沉重。 作为一名医者,在面对这样的情况时,无疑是特别无能为力的…… 她六十来岁,年龄不算大,因不规则出血到外院就诊,考虑可疑宫颈癌变,当医生告知她可能的结果时,她毅然选择放弃进一步检查,选择保守治疗。当她来到我这里就诊的时候,直接给我
45629587 2020-11-16 22:3423505 104
-
大家知道假货最多的中药材是什么嘛?
万万没想到中药竟然也有假货,震惊了。 和一位做“茯苓菌种”的客户聊天,他问我:“你知道假货最多的中药材是什么嘛!?想着他是做这个的,我不确定的说:“该不会是茯苓吧!?”
30819465 2022-03-26 19:371892 12
-
这种新型“姨妈神器”爽到飞起,还特别省钱,很多人却不敢尝试!
前段时间发了一篇卫生棉条,很多妈妈看完表示:打开了新世界的大门。留言区还有姐妹提到了月经杯,没几分钟就被顶到前排: 后台类似的留言也不少: 转自年糕妈妈
50893323 2022-04-06 14:1123922 103
-
传说中的处女膜很重要?女性第一次一定会出血?别被男人骗了
话说我和我老公第一次的时候,由于我们两个都是第一次,额,两个人都不得要领,然后我也没有所谓的“见红”,我当时说实话还是很吃惊的,不过我看到说什么剧烈运动也会导致处女膜破裂啊啥的,也没有太在意这件事,直到今天看到这篇科普才搞明白。。。所以转过来 (转自39健康网)
50758556 2021-07-19 15:4632862 103
-
笑死,昨天业主群里居然有邻居已经开始以物换避孕套了……
昨天业主群里居然有邻居已经开始以物换避孕套了……看来在家真的没什么耍事,哈哈哈。说起有点搞笑,但是更多的还是无奈。居家有快20天了,买东西真的是越来越不方便,前几天京东买的东西都还可以送到,不知道怎么回事这几天又没有动静了。抢菜的平台更是火热,美团还搞限购,限购就算了,可能到该到货的那天突然缺货又配送不了了。
50846473 2022-11-25 09:0717171 40
-
挂不到专家号可以挂新医生的号,新医生可能没经验但会摇人
大家下盘可以试试。挂不到专家号可以挂新医生的号,新医生可能没经验但会摇人。
49223186 2023-07-16 09:411397 4
-
23岁女生以为怀孕,却查出子宫内膜癌
今年23岁的小娟是一名普通的车间工人,工作作息是两班一倒,一周一轮换。有时候是晚上工作,白天睡觉休息;有时候则是白天工作,晚上正常作息。 自从高中毕业以后,小娟就早早地出来打工,没过多久,就通过相亲介绍和隔壁村庄的老乡结了婚。不过,两人在一起两年之久,小娟却一直没有生育的迹象。但是碍于情面,小娟和爱人也一直没有到医院进行相关的检查。 转自:妇产科主任乔医生
花小马儿 2023-02-28 12:53431 6
-
避孕方式千千万,来说说你觉得最靠谱的避孕方式是那种?
私房话题继续摆起,前段时间我发了个大家分享避孕方式的帖子撒,结果出来了,一起来看看。我还是做了一个简单的总结哈。总投票602份。避孕套的毫无悬念的排第一名,292个投票,占48.5%;排到第二名的是我没想到的,居然是体外,182个投票,占30.2%然后安全期、节育环、避孕药差不多都在30个投票左右。另外还有26个其他的,我很好奇,是什么我不知道的方式?求科普呀。。 上次投票是多选,选择的是大家常用
50846478 2022-05-19 16:086303 42
-
夏天来了,水上乐园、造浪池以及泳池,免疫力低的女生一定慎去
好吓人,你们一定要看看,夏天来了,水上乐园、造浪池以及部分泳池,免疫力低的女孩子一定慎去。
51351220 2022-07-03 22:4318171 63
-
宫颈癌检查要重视,两人同行便宜一半,159搞定HPV+TCT+妇科筛查
宫颈癌检查姐妹们一定要重视起来,每年除了常规的体检,HPV该筛查筛查,该打疫苗就打疫苗。内生型的宫颈癌,等有症状了,可能查出来是中晚期了,所以说姐妹们还是要定期做一个检查才行。 HPV检查医生说1-2年查一次都可以,之前自己每年都去做了妇科体检的,最近天气越来越热了不想跑远了,就选了离屋头近的医院去做检查。 最近看到上回去的医院有HPV+TCT+妇科宫颈癌前筛查的套餐,本来检查下来要300多一个人
搞豪无罪 2024-08-01 15:3119673 79
-
卫生巾大调查!看看购物狂妹子们办公室都囤的什么牌子的卫生巾…
大姨妈常常不按套路出牌,一言不合就要来,稍不注意就会打我们个措手不及。 办公室是除了家以外最常待的地方了,所以妹子们在办公室里多多少少都会备一些卫生巾。 今天我们来做个卫生巾大调查吧!管管悄悄咪咪的去拍了办公室妹子们的小抽屉,看看大家都在办公室备了些什么牌子的卫生用品?刚好最近女神节了,很多卫生巾品牌都在打折,哪些值得买?相信大家心里会有一个答案。 据统计,女性一生至少会使用7500片卫生巾,你现
小管家-UU 2022-03-04 11:2721295 100
标签简介
大家都在讨论"女性健康"赶紧来看看吧~

