#美牙#
348人参与 74317浏览
-
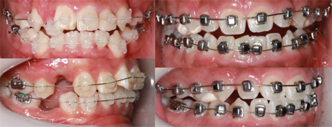
戴牙套惊现牙套脸,该怎么办?
说一下什么是牙套脸牙套脸其实在医学上是没有的这种说法的,但是在实际很多案例中都会出现太阳穴凹陷,咬肌萎缩,导致颧弓外凸,这一表现俗称“牙套脸”。 牙套脸产生原因戴牙套的时候,大家一般都不怎么会吃硬的东西,甚至因为牙套的不适感而减少进食,所以会很大程度上减少我们的咀嚼次数,让咬肌和颞肌都得不到锻炼,再加上牙套期很长,久而久之咬肌和颞肌就会有一定程度上的萎缩导致颧骨外扩。面部线条没有那么流畅就会显得老
51165966 2022-01-19 17:021348 3
-
【购物狂专访】20年诊疗经验的彭新院长说说“人类的第三幅牙齿”
【购物狂专访】第18期,今天我们来聊聊“人类的第三幅牙齿”:种植牙如果你的牙齿因某些原因缺失了,应该怎么办? 还能长出“第三幅牙齿”吗? 今天,桃子就有请到了近20年口腔诊疗经验的团圆口腔种植中心技术院长彭新,来给大家聊聊“种植牙” 到底种植牙手术怎么操作,痛不痛?术后恢复需要注意什么?哪种种植体最适合自己?...... 带着各种大家的疑问,桃子今天对彭院长做了一次问答专访和种植牙治疗直播用最简单
小管家_桃子 2022-04-19 14:3651668 95
-
【购物狂专访第7期】疑难种植专家彭翼,告诉你种植牙其实很简单
【购物狂专访第7期】,带你们了解“种植牙”今天桃子邀请到的是泰康拜博口腔的疑难种植中心首席专家:彭翼院长彭院长从事口腔临床工作已经20年了,是国内较早涉入微创种植医学领域的“先行者” 擅长各类疑难复杂种植手术,目前已经成功实施各类种植手术超过5000例!! 对种植牙有任何疑问的亲们,不要错过本次专访今天除了对彭院长有一个深度专访,还会直播他的种植牙手术哟!如果你有其他疑问,也可以在线留言我们之后会
小管家_桃子 2021-04-06 13:5335013 104
-
原来补牙也可以“美容”,像换了一颗新牙齿一样
自从前年洁牙后牵扯出来了一系列换牙问题直接导致出脱了一个香奶奶的钱后(所以盆油们每年最起码洁牙一次真的很必要啊啊啊啊!早发现早治疗就是省钱钱钱啊啊啊啊~~),我就对我的牙齿特别vip照顾了……过年吃饭的时候感觉大牙中间突然有个小缺缺,一下就紧张了,过年后看到有补牙团购立马就买了约起,还好没有拖,按照医生的话说拖下去起码又是个LV了…… 先上前后对比图,反正我晓得你们只想看效果……如果吃饭的时候引起
五月の番茄 2021-02-24 15:5729816 100
-
种牙福利!仅限1天!现场抽进口种植牙免费名额,单颗补贴5000元
说起种植牙,对于很多人来说那是“既爱又恨”!“爱”是因为种植牙美观、舒适,不需取戴、不伤邻牙,适用范围广,最接近我们的天然牙,被誉为“人类的第三副牙齿”!“恨”是因为种植牙由于技术难度高及耗材昂贵,价格动辄上万,让很多人望而却步。重庆购物狂贴心的为我们会员宝子们种植牙找到了大大的福利 11月18日上海魏兵疑难种植核心团队来渝——“专种别人不能种的牙!” 一重好礼:仅需200元,就能享受6大权益①高
美颜活动 2023-11-06 16:5847122 91
-
正畸界大咖来渝,1对1亲诊!39元正畸套餐得洁牙,另有500元返现
矫正牙齿需要的周期较长跑外就医的路途成本很大为了让重庆市民享受本地口腔医疗同时也能就诊外省知名专家泰康拜博口腔医院邀请了上海九院的正畸大咖——徐子卿来渝啦时间:2月12日9:00~18:00 徐子卿博士不仅是口腔正畸界泰斗级专家沈刚教授大弟子管管也从侧面了解到徐博士也是小红书热榜正畸专家网红牙医?舌侧先锋?运动达人?这么多美好的标签都在一位医生身上聚拢,还贴合得如此“天衣无缝”在徐医生的社交账号上
美颜活动 2025-01-21 13:5344986 93
-
牙齿敏感,想知道各位都用什么牙膏保护牙齿?
牙齿敏感,想知道各位都用什么牙膏保护牙齿?
scenelife 2025-08-27 09:512425 27
-
卡戴珊钻石镶牙上?!她8岁的女儿都开始戴牙套了
咱就是说,这个世界上恐怕没有比卡戴珊更爱钻石的人了吧… 转自大人要脸
50806361 2023-01-28 15:297664 50
-
种植牙博览会倒计时,200抵1000,进口种植牙秒杀,名额告急速抢
人的身体就像一部不断运转的机器年久失修容易出现问题作为身体零部件之一的牙齿也很难逃脱岁月的侵蚀更无法再生随着年龄的增长牙齿松动、脱落给中老年人带来了很大的苦恼牙齿缺失情况也愈加复杂,不少缺牙患者伴随着牙槽骨萎缩严重、骨增量不足等多种问题 早干预早解决所有有种植牙需求的缺牙、坏牙患者趁第四届中国(重庆)国际种植牙博览会·暨种植牙3.0时代发布会之际来重庆泰康拜博口腔活动现场看牙啦! 【优惠政策】(一
美颜活动 2024-02-22 10:3646692 81
-
计划洁个牙,结果把缺牙问题解决了
以前没有重视过牙齿问题,才四十出头门牙就缺了两颗,一直都想去啷个整一下,但是又没下好决心。正好牙龈发炎去江北拜博洁牙,遇到了当天有专家医生在坐诊,就说让他给我看一哈。具体哪个医生我也记不住了,就是这个诊室那个。
51137841 2021-12-02 15:228253 73
-
黄牙妹都去做这个牙齿美白吧!现在一口大白牙好好看
我是超级口红控,为了牙齿能白,用过10种以上美白牙膏!有用,但是效果不大! 这次还是决定花点钱做个科立白牙齿美白,我的最直观感觉就是立刻白!还不伤牙瞬间白了10个度不止!!!哈哈哈
梦想去巴黎 2023-08-22 10:5411984 86
-
牙齿矫正托槽怎么选?这2款神器一个是半隐形法宝,一个极致舒适
要做牙齿矫正的朋友,托槽怎么选?必定是一大难题!一般消费者能见到的托槽类牙套主要是传统金属牙套,金属自锁牙套,透明隐形牙套,陶瓷自锁牙套,舌侧牙套,球面托槽牙套这6类,但这只是牙套的大致分类今天我们的打探将细致到牙套的具体品牌,对比其中两种相当有特色的中高端牙套 所以,在各种各样的款式中,管管今天挑选了2款神器,为大家介绍!社交达人的“半隐形”法宝:好比特真珠托槽+舒适至上的“柔韧派”:奥世美熊猫
小管家_桃子 2025-07-04 14:3116917 59
-
牙齿矫正又出黑科技!矫正前就能看到矫正后的口内变化和面型变化
想整牙的朋友们!如果你有以下这些牙齿问题,那么今天的直播帖,请一定要看!!1.牙列拥挤 2.牙列稀疏 3.反颌(地包天)4.深覆盖(龅牙)5.深覆合 6.中线不齐 7.开颌 8.偏颌 矫正牙齿,一方面是为了美观,另一方面是为了健康!管管听说正舸口腔又出了一个黑科技,不仅能在矫正前,通过口扫检查看到矫正后的牙齿变化,还能通过灵牙系统,看到矫正后的面型变化!这样一系列的检查,一点都不繁琐,过程简单轻松
小管家_桃子 2024-09-10 09:1915889 72
-
【打探新项目】这个美白牙齿的方法太绝!大黄牙瞬间变白10个度
大黄牙多年,你在美白牙齿的道路上,踩过多少坑?抽烟,喝茶,喝咖啡…都会让你的牙齿变黄变难看,最后导致你越来越不爱开口大笑! 都说美白是需要日积月累的事儿但是,今天桃子给大家直播的美白牙齿项目,可以让你的牙齿在一个小时内变白好几个度!!简单又舒适的懒人美白牙齿法,你想了解吗?看看这个美白效果你心动吗?
小管家_桃子 2023-08-29 14:5027693 79
-
大龄中年开始隐适美矫正之路~~~
#牙齿矫正#隐适美#整牙经验1.为什么高龄才选择正畸?@小管家_QQ@小管家-YY@小管家-XX@小管家-DD@小管家-WW其实我一直张嘴睡觉,有了儿子之后才知道我这个是属于从小腺样体肥大导致的,但是我们那个时候家长不重视,我儿子得了之后,我才知道我是这个毛病导致的龅牙,小时候也带过活动矫正器,但是那时候不懂事,根本没坚持下去。导致我嘴巴呈自然状态的时候根本包不住牙齿!虽然我30岁左右开始也想过再
宝宝的大笨熊 2021-10-25 12:186614 61
-
黄牙姐妹都去试试!这个美白牙齿的方法,一次见效
黄牙姐妹们!你对牙齿泛黄这个问题,引起重视了吗?越晚做改善越难啊!除了好好刷牙,使用牙线,试试牙贴...这个美白牙齿的好方法,我觉得也非常适合推荐给你!简单又舒适的懒人美白牙齿法,让你的牙齿在一个小时内变白好几个度!! 看看这个美白效果你心动吗?
小管家_桃子 2024-03-19 15:2014995 78
-
没有对比就没有伤害!我爱牙套,矫正真香!
矫正完成快一年,前两天护士妹妹打电话约我去复查,我又一次踏进之前两年每个月都要来的地方拜博口腔沙坪坝院区。 大厅还是一样的配方 检查也是一样的崔医生和牙椅不一样是我 已经是钮祜禄·幻彩重生·矫正完成的我了。
47512684 2022-04-20 15:175854 68
-
号称“再生自然牙”的种植牙,到底如何?看完帖子你就能完全get
我国成年人牙周健康率只有14.5%,近4成的成年人和9成老年人存在牙齿缺失问题,每十位老人中就有一人牙齿掉光!不管因为什么原因造成的牙齿缺失,都会造成:提前衰老,老年痴呆,寿命缩短,牙周疾病,消化疾病,记忆力减退的问题!这6大问题每一个都会严重影响健康和生活质量,导致生活“幸福感”流失 所以针对现在的你,或者以后的你,或者你的亲人,你的爱人都可以现在就开始了解号称“再生自然牙”的种植牙! 很多人听
小管家_桃子 2021-12-09 14:3711823 77
-
沙坪坝看牙去哪?管管打探这家大品牌牙科医院,性价比居然这么高
之前收到好多网友的私信,问我沙坪坝哪里能洁牙,哪里种植牙技术比较好,哪里可以做矫正牙齿... 今天桃子就专门去沙坪坝为大家打探了这家,用29年时间就在50多个城市开了200多家连锁医院的超大品牌牙科医院:泰康拜博口腔医院 为什么沙坪坝看牙,首推拜博?这里有6个理由,看看是不是能让你选择的动力:1.技术优在种植技术方面,拥有全国独有的IDDC疑难种植中心在正畸技术方面,除了可以开展传统托槽正畸、陶瓷
小管家_桃子 2022-05-07 10:0054897 76
-
纠结2年半,老公的缺失牙终于“种”起了
看了彭院长那个专访贴,我真的有话说。以前老是觉得做种植牙是老年人的事情,但是哪晓得我老公三十出头大牙豆缺了一颗。因为也不是自己嘴里缺了颗牙,所以也没太上心,结果之前老公单位体检,说是他的缺牙的牙龈已经开始萎缩了,所以还是决定找个医院给他把牙种起。
江江江1212 2021-04-07 14:0017495 76
标签简介
大家都在讨论"美牙"赶紧来看看吧~

