玄彬孙艺珍承认恋爱
1个月前 收录
据#D社#爆料,玄彬孙艺珍恋爱进行中!两人已恋爱8个月左右。据玄彬的友人向D社表示,恋爱大约是3月开始的“电视剧结束后,分开相处时发现产生了思念的
查看详情>>
阅读:2.4万回复:75
重庆兴趣班调查
1个月前 收录
一个成熟的社区配套绝对是考虑的重中之重交通便利,生活方便,配套齐妥妥地提升了幸福指数对于有娃家庭来说家附近的机构多,选择面大孩子就近就能上到兴趣班也可以节约大把的时间和人力重庆兴趣班调查走进热门商圈、小区来看看这些地方都有哪些兴趣班,培训机构各位可以把这个帖子
查看详情>>
阅读:7.2万回复:306
45分钟,白了几个度?
1个月前 收录
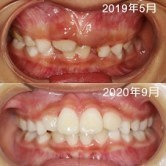
一个人笑起来有多好看,不仅要依靠五官的颜值,还要看看你是否有一口好牙!!一口好牙的标准:健康+整齐+白今天我们直播帖打探的就是:HT恒久牙齿美白1111MicrosoftInternetExplorer402DocumentNotSpecified7.8 磅Normal0这个技术是全球热门的美容式牙齿美白,安全、舒适、便捷还是
查看详情>>
阅读:6.3万回复:250
试驾体验大众途观X
1个月前 收录
大众车外形给大家留下印象最深的估计就是严谨的工艺,稳重的线条,除了最美大众CC以外,都是“套娃”设计。如果说途观L是成熟稳重的印象,那途观X就是精致风骚了。不少自主品牌有在尝试打造一台高性价比的轿跑SUV,但途观X的综合实力在合资轿跑SUV中,目前来看,依旧还是独一档的。首先,途观X与途观L除了轴距相同车名相近之外,好像并没有什么太大关系,与设计中规中
查看详情>>
阅读:1.9万回复:36
在这里加油好便宜
1个月前 收录
亲测!今天陆地石油新溉路加油站95号汽油4.2元/升刚刚油表亮了红灯,路过新溉路一家陆地石油加油站,到处旗帜飘飘在搞活动,便进站加油。加油站的生意之火爆哦,大早上的,好多人!里面服务员都还很热情,从大门口开始就有人全程引导你在哪个油箱机加油。我一问,原来他们今天正式
查看详情>>
阅读:3.1万回复:64
自来熟的美女老板征婚
1个月前 收录
这个帖子有点长,内容可能也会有些许争议,这是我的第几个相亲贴,不太清楚了,因为给家人承诺过尽量28岁前解决个人问题,虽然两个人的事随缘最好,但是作为行动派的我,更相信事在人为(当然心态还是水到渠成)可能很多人都看过我的帖子,先给那些曾今私信过我的没有回复的朋友,说声谢谢并到个歉,实在是个人性格原因,不太习惯无意义的说辞,并非不礼貌,请谅解。
查看详情>>
阅读:2.5万回复:58
去南温泉找童年的记忆
1个月前 收录
我正在参加2020秋冬游https://go.cqmmgo.com/forum-18-thread-173451604284146720-1-1.html小时候,学校组织春游,最喜欢的就去去南温泉,老重庆人都管这里叫南泉,泡温泉耍水,在花溪河河沟里搞船,去挨壁壁看飞泉,在仙女洞逮猫儿,都是那个时代重庆人的记忆,现在光阴似箭,又来
查看详情>>
阅读:3.6万回复:92
教育行业文艺哥子征婚
1个月前 收录
恍惚之间,已快到而立之年,有幸借此平台,诚寻一良人共赴余生美好风景。特此发帖一封,望走过路过赏脸一阅。如有打扰,请海涵。本人生于89年,身高173cm,体重徘徊在70KG左右,主城有住房一套,从事教育工作。生活无压力。工作生活在沙坪坝区。平时喜欢摄影旅行......理想中的你:有孝心,能够体贴父母,活泼开朗,善解人意,身体健健康康就好。对你的期望:不需要有
查看详情>>
阅读:1.5万回复:78
泡菜坛养多肉很不错
1个月前 收录
从养花开始,看到什么瓶瓶罐罐就先想一想能不能种点什么,先是自己家淘汰的东西,后来看到门口垃圾桶旁边别人扔了的能种花的也捡回来前两天又捡了个别人扔的泡菜坛,经过一番思索,自己种的肉都长大了就在网上淘了点小货回来捣鼓捣鼓,看效果之前捡的烂花盆娃儿淘汰的鞋子,样子还
查看详情>>
阅读:9265回复:43
他嫌女友唠叨假装跳河
1个月前 收录
魔幻的2020马上就要过去,今年可谓“兵荒马乱”,但即便如此,沙雕也从不缺席。搜集了一些爆笑新闻,一起来乐呵吧!笑就完事了来源:每日豆瓣
查看详情>>
阅读:4.2万回复:120
抖音超级难用的东西
1个月前 收录
你们有没有发现,抖音的一些迷惑产品真的越来越让人无语了,偏偏还有那么多人上当! 今天就给大家盘点一下那些抖音超级难用的东西吧!
查看详情>>
阅读:1.2万回复:32
在重庆用地暖好舒服
1个月前 收录
每天24小时开地暖,燃气费用32元左右(包含洗澡做饭)房子套内118,厨房,厕所,还有衣柜底下没有安装地暖。实际采暖面积81平方
查看详情>>
阅读:1.6万回复:81
特斯拉充电价格,贵吗
1个月前 收录
我以为电动车充电很便宜,今天看到特斯拉充电站这个价格竟然2.16一度电,按照85kw车型,充满一次得68-80度电,那也得上百元了,超时还收占用费6.4/分钟
查看详情>>
阅读:3.5万回复:100


