才35+,我就终于明白了为什么中老年人总说自己这疼那疼了
1小时前 收录

前两个月早晨四五点开始后腰疼枕头搞起来了睡姿开始纠正了腰背理疗瑜伽安排上了效果也是有了但停一周不受约束地放松一把,它又故态复萌想要舒服,长期
查看详情>>
阅读:1252回复:22
一到秋冬,脚就冰到睡不着觉,大家都来这里说说应该怎么调理
1小时前 收录

脚冰到睡不着怎么调理 应该吃什么药一直都手脚冰凉 每天晚上不穿厚袜子里面放暖宝宝就睡不舒服 夏天还好 春秋冬天的时候穿再厚的鞋垫脚也是冰的 想问
查看详情>>
阅读:1698回复:30
还是要听医生的!做了综合祛斑套餐,脸上的小雀斑几乎都没了
1小时前 收录

祛斑真的有用!推荐这个组合:超光子+超皮秒+富勒烯水光之前一直觉得自己就是小雀斑而已,就靠超光子祛斑模式应该可以祛掉,但是打了2次,发现效果始终
查看详情>>
阅读:574回复:15
做了什么,会导致免疫力低下?大家一起来说说,帮忙避雷
1小时前 收录

不熬夜 不喝酒 不抽烟 饮食清淡 每周运动三天以上到底为什么免疫力低到每个月都有不同的病痛缠身?感冒不吃药就不会好 是不是这里发炎那里发炎我真的遭
查看详情>>
阅读:318回复:16
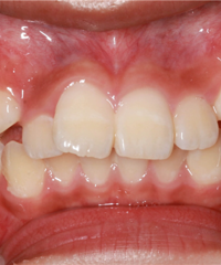
孩子矫正牙齿2年的经验分享,这款国产矫治器光滑,很舒适
1天前 收录

摆哈牙齿矫正,我娃儿12岁的时候下定决心带他去做了牙齿矫正,那个时候本来还想拖,但是实在看不下去他那一口颠倒西歪的牙齿了,开始还觉得小虎牙很可
查看详情>>
阅读:1571回复:38
仅代表个人观点:其实很多护肤品根本没用!你觉得呢?
1天前 收录

仅代表个人观点!!说句不该说的,真的觉得很多护肤品对我来说没什么用,比如美白淡斑的,大牌也买过,用了好多还是没什么改变!!
查看详情>>
阅读:1382回复:17
只要不要熬夜,一切都会好!说说熬夜带来的那些无法估量的伤害
1天前 收录

别等身体亮起红灯才惊醒:23点前躺进被窝,让肝脏准时"下班";睡前1小时放下手机,用温水和维C唤醒代谢;每周两次黑豆、每天一把杏仁,把健
查看详情>>
阅读:410回复:16
选对眉形等于换脸,蓬松自然感的3D野生眉超自然!现在还有团购
2天前 收录

选对眉形等于换脸!你别不信~~很多女生的原生眉,不仅杂乱,稀疏,还颜色惨淡而今年流行的野生眉,妥妥的就是你的“大救星”!!!今天为大家打探的3D
查看详情>>
阅读:7969回复:46
这个综合祛斑的方法,真的很有效!一次就能让皮肤变得很干净
2天前 收录

真心希望所有长斑的姐妹,都能尝试体验一下“综合祛斑”的疗效联合丽格的四维祛斑疗法,能够消色素,抗炎症,促再生,建屏障,防复发!!分型治疗+有效
查看详情>>
阅读:7671回复:68
从健身小白一路学习动作,发力,核心收紧,用3年多时间的成果
2天前 收录


阅读:1659回复:18
我来说说,已经被“撑大”了的胃,该怎么科学地饿回去
3天前 收录

肥胖的人胃口往往都很大,可以吃下很多东西。因为胃是一个弹性很大的器官,当你长期暴饮暴食,长期吃撑,会导致“胃容量”增大,食欲也会变大。今天这
查看详情>>
阅读:2839回复:19
节后减脂,明星同款一周减脂餐来啦!做法也都超简单
3天前 收录

姐妹们,国庆中秋双节胡吃海喝后该给肠胃放个假啦! 我整理了一周轻饮食食谱,都是明星同款减脂餐。低脂低卡,好吃不胖!做法也超级简单!!
查看详情>>
阅读:1640回复:16
熬夜党的首选!这款水光的祛黄提亮效果真棒,素颜皮肤变好了
4天前 收录
冭活泡泡让我素颜发光了熬夜党褪黄提亮最好的选择之一,冭活泡泡针让我素颜发光了。常年嗜甜+熬夜,脸黄得像敷了层蜡,粉底都盖不住那种暗沉感,班味十足,做了很多功课锁定「冭活泡泡针」,打完一个月真的被皮肤状态惊到,赶紧来给姐妹们分享爱美客技术发展股份有限公司研发生产,
查看详情>>
阅读:1415回复:27
没想到纹眉也可以改善太阳穴凹陷,简直花小钱办大事
4天前 收录

一直以为太阳穴凹陷一定德去填充才得行的,没想到纹眉就改善了当然,画眉毛也可以,只不过自己每天在家只能增色不能画形,完全达不到那个效果平时眉毛
查看详情>>
阅读:1436回复:15
已排雷!酒酿蛋不是智商税,气血补起来,说话都中气十足了
5天前 收录

变化:每天6点起来也是元气满满,精精神神~脸色红润,皮肤明显的变亮了!!之前一走路就累,蹲了起来就两眼黑……现在气血补起来了,说话都中气十足。
查看详情>>
阅读:5568回复:28
一人说一个能够长期抗衰的小秘方!抗糖,不熬夜,少生气真的管用
5天前 收录

抗衰比较有效果的方法和偏方,姐妹们分享下现在的人看起来都很显年轻,每个人可以分享一下自己比较有效果的抗衰心得,我们一起探讨+研究一下
查看详情>>
阅读:4164回复:21
这里有个关于睡眠的冷知识!让你对每晚的闭眼时间有全新认识
6天前 收录

睡眠不仅是休息,还能清洁大脑、调节情绪、处理记忆,甚至影响人际关系。了解睡眠时型、呼吸暂停、肠道菌群等细节,有助于提高睡眠质量。睡眠不足会降
查看详情>>
阅读:3992回复:27
告别无效化妆!纹的野生眉就像自己原本长的!素颜出门被问N次
6天前 收录
以前总觉得化妆最难的是眼妆,直到尝试了野生眉才发现——眉毛才是颜值的“定海神针” 。每天早上画眉毛要跟眉峰较劲半小时,手抖一下就成蜡笔小新,忍了大半年,终于下定决心去纹野生眉,结果直接打开了“素颜自由”的新世界。
查看详情>>
阅读:2526回复:23
沙发真的太可恨了,到这里来看看大家给出的小妙招
6天前 收录

以前头发也是顺滑的,烫染多次后,就成了沙发已经三年没有烫染了,洗头,洗发水,护发素,精油,都试了,偶尔会用直板夹,一吹风就炸毛广大朋友有啥好
查看详情>>
阅读:4290回复:23
1毫升玻尿酸,能带来怎么样的改变?看看我的脸,就知道了
7天前 收录

好像很长一段时间,铺天盖地的宣传都是幼态美女,网络上流行的美女也不再是大眼尖下巴,反而很多人开始去把曾经开过的眼头包圆,下巴缩短。我自己就是
查看详情>>
阅读:2894回复:20
15个抗炎生活习惯, 让身体慢慢变好,多吃蓝莓和三文鱼
7天前 收录

体内长期存在的炎症反应如同无声的火苗,是多种健康问题的潜在推手。持续的炎症反应状态与心血管、代谢及认知能力等问题显著相关。调整日常习惯,从源头控制,是增加身体健康活力的关键。建议做肠道菌群检测,发现问题后针对性解决。
查看详情>>
阅读:4735回复:17
减脂期吃这个抗炎酸奶碗,附上万能公式,都照着做试试
8天前 收录

酸奶碗要吃对除了总热量,食材也很重要别用那些有糖分的酸奶,什么风味水果味酸奶挑新鲜低Gi水果作为天然甜味剂 选蛋白质含量高的,因为健身需要,我自
查看详情>>
阅读:2226回复:16
入秋后,少补水,多补津液!分享18款补津液的汤饮,做法很简单
8天前 收录

入秋后老感觉口渴,别瞎喝水,你该补的是“津液 ”! 分享18款补津液的汤饮,你厨房里就有的食材,换着花样做着喝,轻松让家人平稳渡过秋季
查看详情>>
阅读:2705回复:19
深秋需要一碗浓藕汤,连喝一个月,把气血和津液都补回来
9天前 收录

深秋需要一碗浓藕汤都知道女子三日不离藕 深秋到了,也是莲藕盛产的时候新鲜莲藕煮水有很多作用,清热去火补益气血对睡眠不佳也有好处
查看详情>>
阅读:4265回复:17