孩子牙齿不齐一定要早改善!很快就矫正好了
1小时前 收录

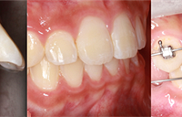
摆哈牙齿矫正,我娃儿12岁的时候下定决心带他去做了牙齿矫正,那个时候本来还想拖,但是实在看不下去他那一口颠倒西歪的牙齿了,开始还觉得小虎牙很可
查看详情>>
阅读:1006回复:28
补气血:月经后连喝4-5天,比什么都管用
1小时前 收录

小脸暗沉蜡黄,皮肤粗糙,总是懒洋洋,说话有气无力,走到哪儿都想靠一下或蹲一下指甲有竖纹、易断裂,爱掉头发,刚说完的事转身就忘有以上这些表现的
查看详情>>
阅读:505回复:16
到了35岁,才明白中老年人总说自己这疼那疼
1小时前 收录

前两个月早晨四五点开始后腰疼枕头搞起来了睡姿开始纠正了腰背理疗瑜伽安排上了效果也是有了但停一周不受约束地放松一把,它又故态复萌想要舒服,长期
查看详情>>
阅读:541回复:20
仅代表个人观点!其实很多护肤品根本没用
1天前 收录

仅代表个人观点!!说句不该说的,真的觉得很多护肤品对我来说没什么用,比如美白淡斑的,大牌也买过,用了好多还是没什么改变!!
查看详情>>
阅读:1241回复:17
我的小雀斑祛掉了!做了祛斑套餐,皮肤干干净净
1天前 收录

祛斑真的有用!推荐这个组合:超光子+超皮秒+富勒烯水光之前一直觉得自己就是小雀斑而已,就靠超光子祛斑模式应该可以祛掉,但是打了2次,发现效果始终
查看详情>>
阅读:539回复:15
选对眉形等于换脸!自然野生眉,浓颜淡颜都适合
2天前 收录

选对眉形等于换脸!你别不信~~很多女生的原生眉,不仅杂乱,稀疏,还颜色惨淡而今年流行的野生眉,妥妥的就是你的“大救星”!!!今天为大家打探的3D
查看详情>>
阅读:5400回复:45
已经被“撑大”了的胃,该怎么科学地饿回去!
2天前 收录

肥胖的人胃口往往都很大,可以吃下很多东西。因为胃是一个弹性很大的器官,当你长期暴饮暴食,长期吃撑,会导致“胃容量”增大,食欲也会变大。今天这篇文章给大家科普,对于已经被“撑大”了的胃,该怎么科学地饿回去?
查看详情>>
阅读:2114回复:18
健身小白从动作发力核心收紧,3年时间的效果
2天前 收录

从健身小白一路学习动作,发力,核心收紧,了解什么是基础代谢等等,到现在可以完全脱离教程,自练并能轻松控制体重,这一路足足用了3年多时间……[/1
查看详情>>
阅读:882回复:14
综合祛斑的方法,真的很有效!皮肤变得很干净
4天前 收录

真心希望所有长斑的姐妹,都能尝试体验一下“综合祛斑”的疗效联合丽格的四维祛斑疗法,能够消色素,抗炎症,促再生,建屏障, 防复发!!分型治疗+有
查看详情>>
阅读:7341回复:66
减肥期饿疯!有没有通便,管饱,还热量低的食物
4天前 收录

晚饭吃了玉米鸡蛋但是根本不抗饿到现在饿得想啃桌子腿!到底有什么食物既通便又管饱,还热量特别低减肥减得有点b溃了
查看详情>>
阅读:4780回复:44
深秋连喝一个月浓藕汤,把气血和津液都补回来
4天前 收录

深秋需要一碗浓藕汤都知道女子三日不离藕 深秋到了,也是莲藕盛产的时候新鲜莲藕煮水有很多作用,清热去火补益气血对睡眠不佳也有好处
查看详情>>
阅读:4257回复:17
一人说一个能够长期抗衰的小秘方
4天前 收录

抗衰比较有效果的方法和偏方,姐妹们分享下现在的人看起来都很显年轻,每个人可以分享一下自己比较有效果的抗衰心得,我们一起探讨+研究一下
查看详情>>
阅读:4115回复:21
熬夜党的首选!想要祛黄提亮的,看过来
5天前 收录

冭活泡泡让我素颜发光了熬夜党褪黄提亮最好的选择之一,冭活泡泡针让我素颜发光了。常年嗜甜+熬夜,脸黄得像敷了层蜡,粉底都盖不住那种暗沉感,班味十足,做了很多功课锁定「冭活泡泡针」,打完一个月真的被皮肤状态惊到,赶紧来给姐妹们分享爱美客技术发展股份有限公司研发生产,
查看详情>>
阅读:1359回复:27
酒酿蛋不是智商税!气血补起来,说话都中气十足
5天前 收录

变化:每天6点起来也是元气满满,精精神神~脸色红润,皮肤明显的变亮了!!之前一走路就累,蹲了起来就两眼黑……现在气血补起来了,说话都中气十足。
查看详情>>
阅读:5520回复:28
节后减脂!明星同款一周减脂餐,做法超级简单
5天前 收录

姐妹们,国庆中秋双节胡吃海喝后该给肠胃放个假啦! 我整理了一周轻饮食食谱,都是明星同款减脂餐。低脂低卡,好吃不胖!做法也超级简单!!
查看详情>>
阅读:1483回复:16
已排雷,热敷肚子20天,祛湿效果真的不错
6天前 收录

有没有一样的姐妹天天吹空调、久坐不动,摸一摸肚子是不是又凉又凸,头发塌得快、脸也反复冒豆…这可能是身体在提醒你循环跟不上啦!,湿气气重!抓住
查看详情>>
阅读:6850回复:31
没想到纹眉也可以改善太阳穴凹陷,花小钱办大事
6天前 收录

一直以为太阳穴凹陷一定德去填充才得行的,没想到纹眉就改善了当然,画眉毛也可以,只不过自己每天在家只能增色不能画形,完全达不到那个效果平时眉毛
查看详情>>
阅读:1401回复:15
纹的野生眉看起来超级自然,素颜出门被问N次
14天前 收录
以前总觉得化妆最难的是眼妆,直到尝试了野生眉才发现——眉毛才是颜值的“定海神针” 。每天早上画眉毛要跟眉峰较劲半小时,手抖一下就成蜡笔小新,忍了大半年,终于下定决心去纹野生眉,结果直接打开了“素颜自由”的新世界。
查看详情>>
阅读:2510回复:23
20年前给妈妈做近视手术的专家,我很推荐他
14天前 收录

20年前,妈妈就因为他的精湛医术,专门到西南医院,找他做了近视手术20年后,因为妈妈的亲身经历,感觉非常良好!所以儿子也找他做了近视手术他就是原
查看详情>>
阅读:3.4万回复:77
解决了黑眼圈+泪沟+细纹,瞬间看起来年轻5岁
14天前 收录

人老眼先老,眼周通常是最先出现衰老痕迹的部位不同年龄段,出现的眼部问题就不同随着年龄的增长+各种熬夜,很多女生都会出现严重的黑眼圈、轻微的泪沟
查看详情>>
阅读:1.0万回复:59
这里有个令人惊叹的冷知识!关于睡眠~
15天前 收录

睡眠不仅是休息,还能清洁大脑、调节情绪、处理记忆,甚至影响人际关系。了解睡眠时型、呼吸暂停、肠道菌群等细节,有助于提高睡眠质量。睡眠不足会降
查看详情>>
阅读:3976回复:27
1毫升玻尿酸,带来的变化!看看我的脸
17天前 收录

好像很长一段时间,铺天盖地的宣传都是幼态美女,网络上流行的美女也不再是大眼尖下巴,反而很多人开始去把曾经开过的眼头包圆,下巴缩短。我自己就是
查看详情>>
阅读:2755回复:20
肩胛骨缝痛是什么原因?看看网上大神们说的
17天前 收录

平时爱打点羽毛球,右手活动强度会比较高,不知道跟这个原因大不大,感觉就是刺痛,肌肉不疼,隐隐出现,有时候没有,网上查了说是经络的问题,目前也
查看详情>>
阅读:2861回复:20